

(CLO) Tâm điểm ngày 9/12 của SEA Games 33 là lễ khai mạc diễn ra vào lúc 19h00. Trong khi đó, đoàn thể thao Việt Nam chỉ thi đấu duy nhất nội dung bóng chày nam, gặp Philippines.

(CLO) Mới đây, Quỹ Văn hoá và Du lịch Jeonbuk (Hàn Quốc) đã tổ chức Hội thảo xúc tiến du lịch Hàn Quốc - Việt Nam.
GD&TĐ - MC Quyền Linh không chỉ phủ nhận tin đồn mà còn gửi lời nhắn nhủ mạnh mẽ đến mọi người hãy chọn lọc thông tin thật kỹ, nguồn tin đáng tin cậy.

GD&TĐ - Trường THCS Văn Khê (Mê Linh, Hà Nội) xác định công tác an ninh, an toàn không chỉ là nhiệm vụ quản lý, mà là “điều kiện tiên quyết” để thực hiện mục tiêu giáo dục toàn diện.

(CLO) Thị trường điện ảnh Việt năm 2025 ghi nhận bước tiến vượt bậc khi toàn bộ 10 bộ phim nội đều cán mốc trên 100 tỷ đồng doanh thu phòng vé.
(CLO) Nhân dịp kỷ niệm 260 năm ngày sinh (1765 - 2025), tưởng niệm 205 năm ngày mất (1820 - 2025) của Đại thi hào Nguyễn Du, Nhà xuất bản (NXB) Kim Đồng ra mắt ấn bản “Truyện Kiều” do hoạ sĩ Nguyễn Công Hoan vẽ minh họa.
GD&TĐ - Diễn đàn Hiệu trưởng các trường đại học lưu vực sông Hồng lần thứ 6 – năm 2025 khai mạc sáng 8/12, tại Hà Nội.

GD&TĐ - Nhạc trống lớn là loại hình nghệ thuật trình diễn dân gian độc đáo, thể hiện bản lĩnh sáng tạo của cộng đồng dân tộc Khmer ở Cà Mau.

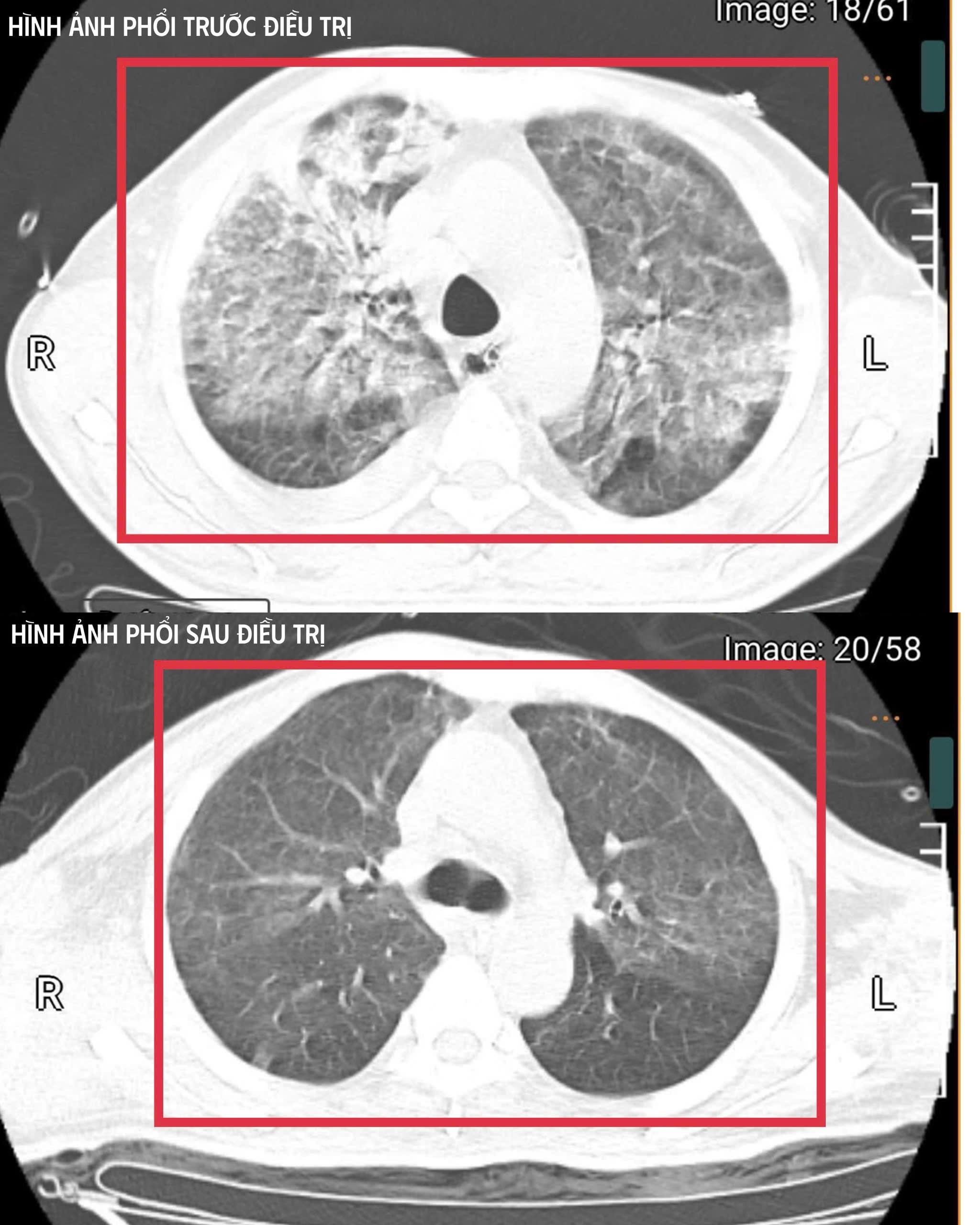
(CLO) Sau khi trở về từ Thái Lan, bệnh nhân 35 tuổi (quê Nghệ An) đã nhiễm vi khuẩn Burkholderia pseudomallei (tác nhân gây bệnh Whitmore, thường được gọi là “vi khuẩn tử thần”) và có diễn tiến tối cấp, suy đa tạng nặng, nguy cơ tử vong rất cao.
